叢生|御茶ノ水林矯正歯科|千代田区御茶ノ水の矯正歯科専門クリニック|矯正相談

〒101-0062 東京都千代田区神田駿河台3丁目4-1 新御茶ノ水龍名館ビル2階
03-6384-0228
矯正相談予約 それ以外の予約
ヘッダー画像

叢生

叢生|御茶ノ水林矯正歯科|千代田区御茶ノ水の矯正歯科専門クリニック|矯正相談

叢生

治療内容
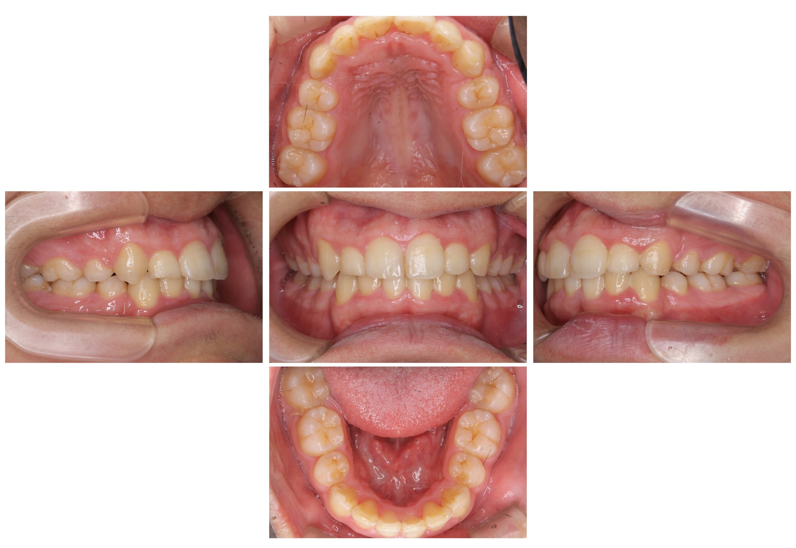
【主訴】
上下前歯の歯並び
【診断名あるいは主な症状】
叢生
【年齢】
30代
【治療に用いた主な装置】
ワイヤー矯正
・セラミック製・セルフライゲーションブラケット装置(クリッピーC)
・ロジウムコーティング・ホワイトワイヤー
【抜⻭部位】
上下顎両側第一小臼歯
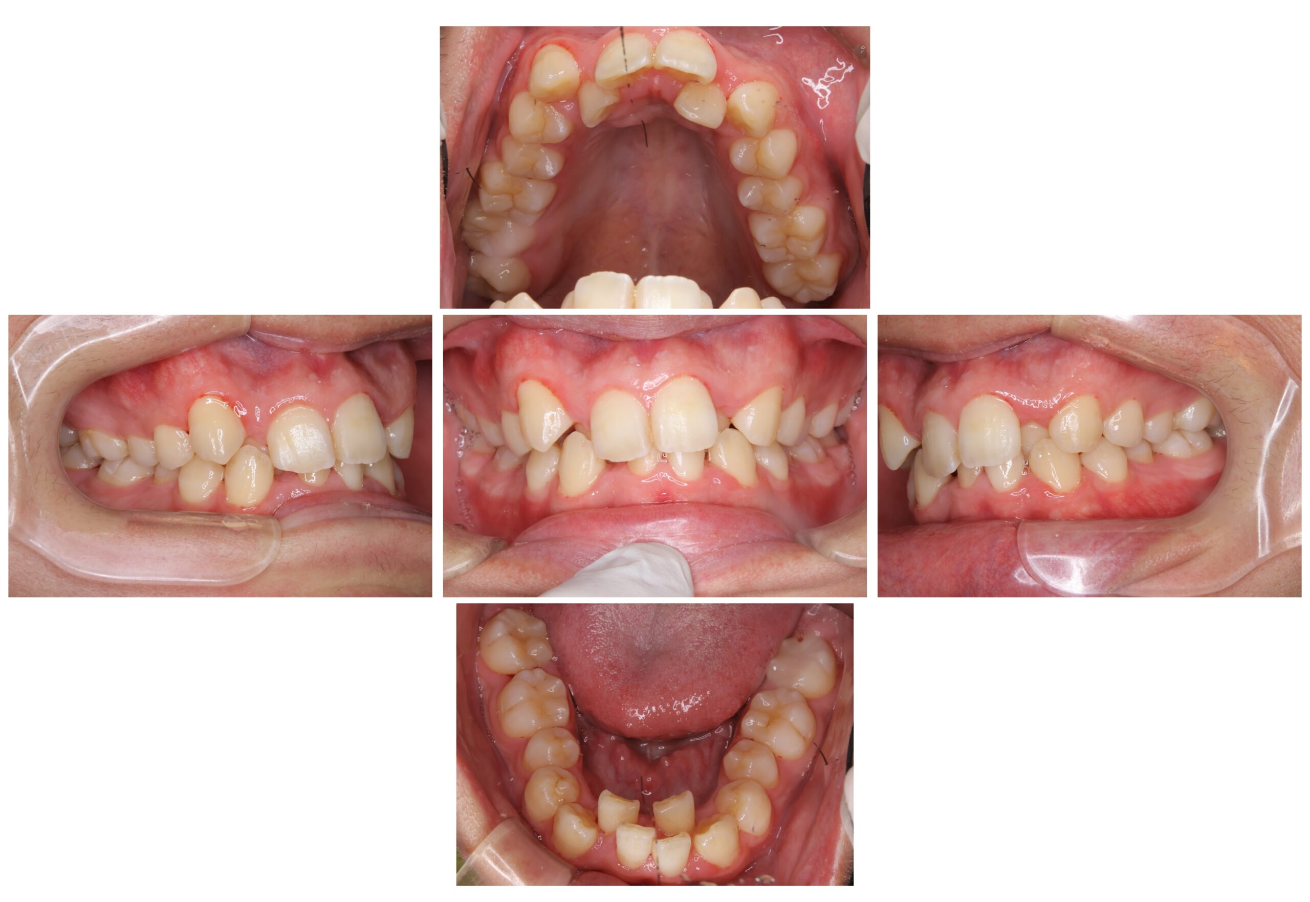
治療期間・回数
1年10か月
費用
968,000円(税込) 調整料 5,500円(税込)
リスク・副作用
治療中の違和感、痛み、むし歯、歯周病、歯根吸収、歯肉退縮、歯髄壊死、顎関節症
PageTop